問題文
72歳の男性。突然の左眼の視力低下を主訴に来院した。
テレビを見ていたところ左眼が急に見えなくなり、改善しないため受診した。
喫煙は20本/日を50年間、血圧170/96 mmHg。
視力は右眼0.3(1.0)、左眼手動弁(矯正不能)。
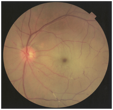
左眼の眼底写真を別に示す。

診断はどれか。
A. 硝子体出血
B. 加齢黄斑変性
C. Vogt-小柳-原田病
D. 網膜静脈分枝閉塞症
E. 網膜中心動脈閉塞症
答え
クリックして答えを表示
E. 網膜中心動脈閉塞症💡最低限の解説(暗記用)
突然の片眼視力低下+高血圧+手動弁=網膜中心動脈閉塞症!
→ cherry red spot を見逃すな!

基本的には 「cherry red spot」=網膜中心動脈閉塞症(CRAO) の典型所見として考えてOK!
ちなみに、CRAO は Central Retinal Artery Occlusion の略。
✅ Breakdown(構成):
| 英語 | 意味 |
|---|---|
| Central | 中心の |
| Retinal | 網膜の |
| Artery | 動脈 |
| Occlusion | 閉塞 |
✅ 覚え方(語呂合わせ)
Cherry spotが見えるなら
Retinaの
Arteryが
Out!=CRAO
📘普通の解説(標準)
この症例のキーワードは:
- 突然の左眼視力低下
- 喫煙歴と高血圧
- 左眼は手動弁レベルの重度視力障害
- 眼底写真あり→ cherry red spotが典型的所見!
網膜中心動脈閉塞症(CRAO)は、動脈の塞栓や血栓によって網膜への血流が急激に遮断される疾患。
突発性の視力喪失として出現し、高血圧・動脈硬化・喫煙などがリスク因子。
選択肢の検討:
- A. 硝子体出血:眼底が見えにくくなる。手動弁になるほどの急激な低下は典型的ではない。
- B. 加齢黄斑変性:進行は通常緩徐。突然の視力喪失とは異なる。
- C. Vogt-小柳-原田病:両眼性・全身症状あり。本例は不一致。
- D. 網膜静脈分枝閉塞症:部分的な視野欠損が多く、手動弁レベルにはなりにくい。
- E. 網膜中心動脈閉塞症:突然、片眼が見えなくなる。Cherry red spotがあれば確定的。
🧪超詳しい解説(深掘り)
網膜中心動脈閉塞症(CRAO)の特徴
| 項目 | 内容 |
|---|---|
| 発症 | 突然、片眼の重度視力低下(手動弁〜光覚弁) |
| 所見 | Cherry red spot(網膜虚血により黄斑だけ赤く見える) |
| リスク因子 | 高血圧、喫煙、動脈硬化、心房細動など |
| 治療 | 眼球マッサージ、前房穿刺、血管拡張薬、酸素吸入、高圧酸素療法など |
cherry red spot の由来
- 網膜は虚血で白く濁るが、黄斑中心窩は薄く虚血の影響を受けにくい
→ 背景の脈絡膜の血流が透けて赤く見える
→ これが “さくらんぼ様紅斑”
それぞれの疾患をもう少し詳しく解説
A. 硝子体出血
- 👀 原因は、糖尿病網膜症・網膜裂孔・加齢黄斑変性・網膜静脈閉塞症など。
- 🧠 眼の中に血が出ると、眼底が見えにくくなるのがポイント。
- 😵 突然の視力低下はありうるけど、視力が手動弁レベルまで一気に落ちるのは少ない。
- 🚫 今回のように眼底が観察できて、Cherry red spot がくっきり見えてる症例には合わない!
B. 加齢黄斑変性(AMD)
- 🧓 高齢者で、黄斑部が加齢でダメージを受ける病気。
- 🐢 視力低下はゆっくり進むことが多く、急に片目が見えなくなるような展開はレア。
- 👁 出血や滲出があればちょっと急ぐけど、それでもいきなり手動弁まで落ちるのはかなり非典型。
- 🚫 Cherry red spot も出ないし、今回のような急展開とは一致しません!
C. Vogt-小柳-原田病(VKH)
- 🔬 メラニンをターゲットにする自己免疫性のぶどう膜炎。
- 🔁 両眼性で、頭痛・耳鳴り・難聴・髄膜症状なんかもセットで出てくるのが特徴。
- 📸 眼底には漿液性網膜剥離が見られるけど、これも両眼に起こるのが普通。
- 🚫 今回は片眼のみ・全身症状なし・高齢男性ということで、まず除外!
D. 網膜静脈分枝閉塞症(BRVO)
- 🩸 動脈が静脈を圧迫して、血の流れが滞って閉塞 → 出血・浮腫になる病気。
- 👓 視力はちょっとずつ落ちるか、視野の一部が欠ける感じ。
- 📷 眼底では出血・白斑・浮腫が見えるけど、Cherry red spot は出てこない。
- 🚫 ゆるやかな視力低下+局所性 → 今回の“突然・片眼ほぼ失明”とはまったく違う!
E. 網膜中心動脈閉塞症(CRAO)
- 💥 網膜のメイン動脈が、血栓や塞栓でズバッと詰まってしまう病態。
- 👁 視力は突然ストンと落ちる(手動弁レベル)。しかも痛くない。
- 🍒 特徴的なのが「Cherry red spot」=黄斑部だけ赤く見えるやつ。
- 🔎 今回のように、高血圧&喫煙歴あり+急激な視力喪失+Cherry red spotあり
→ これ、もう教科書どおりのCRAOでしょ!
✅まとめ
突然の片眼失明+高血圧+喫煙歴+Cherry red spot=網膜中心動脈閉塞症(CRAO)!











コメントを残す