問題
68歳の男性。労作時息切れを主訴に来院した。
1年前から自宅の階段を昇る際に息切れを自覚するようになり、
その後も症状が増悪するため受診した。
体温36.5 ℃。脈拍76/分、整。血圧132/76 mmHg。呼吸数16/分。SpO2 96 %(room air)。
心音に異常を認めない。
左中下肺野で呼吸音は減弱し、同部位で腸雑音を聴取する。
腹部は平坦、軟で、肝・脾を触知しない。
血液所見:赤血球459 万、Hb13.9 g/dL、Ht42 %、白血球6,800。CRP0.1 mg/dL。
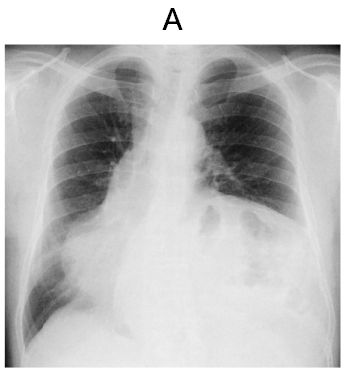
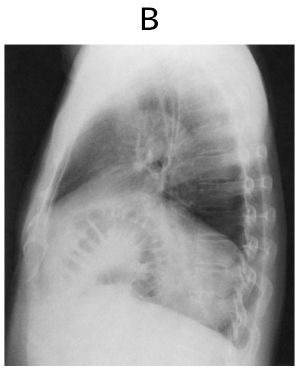
胸部エックス線写真の正面像(別冊No.5A)と側面像(別冊No.5B)を別に示す。


診断はどれか。
A. 自然気胸
B. 横隔膜損傷
C. 横隔膜下膿瘍
D. 横隔膜弛緩症
E. Bochdalekヘルニア
✅ 答え
クリックして答えを表示
D. 横隔膜弛緩症💡 最低限の解説(暗記用)
左肺で呼吸音↓+腸雑音↑ → 横隔膜が持ち上がってる証拠!
→ 横隔膜弛緩症(D)が典型!
📘 普通の解説(標準)
- 左中下肺野の呼吸音が減弱していて、腸雑音が聴こえるというのがポイント。
- 腸の音が肺のあたりで聴こえるということは、腹腔内容物が胸腔側に入り込んでいる可能性が高い。
- 画像(別冊)では左横隔膜の挙上が予想される。
→ 高齢者に多い横隔膜弛緩症(diaphragmatic eventration)が最も一致。
🔍 選択肢の検討
- A. 自然気胸
→ 呼吸音は減弱するが腸雑音は聴こえない。挙上も限定的。 - B. 横隔膜損傷
→ 交通外傷などが典型。急性+若年+外傷歴が必要。 - C. 横隔膜下膿瘍
→ 炎症反応(CRP↑)があるはず。本例はCRP正常。 - D. 横隔膜弛緩症
→ 無症候性のことも。腸音聴取&無炎症&徐々に進行 → ◎ - E. Bochdalekヘルニア
→ 先天性。新生児や小児に多く、成人発症はレア。
🧪 超詳しい解説(深掘り)
横隔膜弛緩症とは?
- 横隔膜の一部が薄くなったり筋線維の低形成で、引き下げられずに高位に挙上する病態。
- 通常は無症状。重度になると呼吸苦や消化器症状を伴うこともある。
- 腸が上がることで、腸音が胸部で聴こえるのが大きなヒント!
- 高齢者・男性に比較的多い。
鑑別のヒントまとめ
| 疾患名 | 呼吸音減弱 | 腸雑音 | 炎症反応 | 年齢層 | キーワード |
|---|---|---|---|---|---|
| 自然気胸 | ○ | × | × | 若年男性 | スポーツ・急性 |
| 横隔膜損傷 | ○ | ○ | ↑ | 外傷歴 | 交通外傷 |
| 横隔膜下膿瘍 | △ | △ | ↑ | 高齢 | 発熱・CRP↑ |
| 横隔膜弛緩症 | ○ | ○ | 正常 | 高齢 | 徐々に進行 |
| Bochdalekヘルニア | △ | ○ | ー | 新生児 | 先天性 |
🔍 各選択肢の疾患について詳しく解説
A. 自然気胸
- 胸膜の破綻により空気が胸腔内に漏れ、肺が虚脱する状態。
- 若年痩せ型男性に多く、急激な胸痛・呼吸困難・片側の呼吸音減弱が典型。
- 横隔膜の挙上は軽度で、腸雑音が聴こえることは基本的にない。
- 胸部X線で肺虚脱と胸腔内の透亮域が見られる。
B. 横隔膜損傷
- 鈍的外傷(交通事故など)や鋭的外傷で横隔膜が破裂し、腹腔内臓器が胸腔に脱出する。
- 急性発症+若年者+外傷歴ありがセット。
- 腸雑音が胸部で聴こえることはあるが、通常は外傷エピソードが必須。
- 手術適応になることが多い。
C. 横隔膜下膿瘍(subphrenic abscess)
- 腹部手術後や腹腔内感染(胆嚢炎・虫垂炎など)に続発して、横隔膜直下に膿瘍が形成される。
- 発熱・倦怠感・腹痛・呼吸苦などを呈し、炎症反応(CRP↑、WBC↑)も伴う。
- 腸雑音が胸部に伝わることもあるが、本例ではCRPが0.1と正常なため除外的。
D. 横隔膜弛緩症(正答)
- 横隔膜の先天的または後天的な筋力低下・菲薄化により、横隔膜が高位に挙上される。
- 腸管が胸腔に近づくため、腸雑音が胸部で聴こえることがある。
- 多くは無症状だが、進行すると息切れや消化器症状が出ることも。
- 胸部X線やCTで横隔膜の挙上と、時に腸管ガス像が見られる。
E. Bochdalekヘルニア(ボフダレクヘルニア)
- 先天性横隔膜ヘルニアの一種で、主に左後方の横隔膜欠損を通じて腸管などが胸腔に入り込む。
- 新生児に多く、出生直後から呼吸困難で発症することが多い。
- 成人発症は非常に稀で、偶然発見されるか、慢性的な呼吸器症状で見つかる。
- 腸雑音が胸部で聴こえることもあるが、本症例の年齢や進行様式とは合わない。
✅ まとめ
左肺野で
「呼吸音↓+腸音↑」があったら
→ 横隔膜弛緩症を第一に疑おう!











コメントを残す